











I'm a senior principal AI engineer fascinated by advanced development and applying new technologies from 3D medical imaging to robotic-assisted surgery and AI. I've researched and developed algorithms for measuring morphological and intensity-based parameters in specific anatomic regions on MR data of MS patients by using an automated mapping process, segmenting bone to assess bone mineral density (BMD) in hands, feet, and knees. I've designed and built a software solution for 3D joint space analysis, visualization, and tracking and used machine learning to build a probabilistic model for tooth fracture detection in CBCT images.
I also have a personal passion for entrepreneurship and startups. I started, built, and ran a scalable, cloud-based software as a service (SaaS) solution using Amazon Web Services (AWS) -- Amazon Elastic Compute Cloud (EC2) and Amazon Simple Storage (S3) -- to deliver minimum viable product (MVP) and validate new features based on rapid user-feedback cycles. I worked with a social media startup at the RIT incubator to implement a "validate learning" process, conduct A/B tests, and learn valuable insights about user behaviors. I was part of a small team of consultants helping a Rochester-based cloud analytics startup build its growth plan as a service provider.
I'm excited to build software solutions that are meaningful and intuitive to use. Drop me an email if you have an opportunity to discuss!
Automatic 3D bone segmentation enables several advanced clinical application but it can be a challenging task in CT images when thin parts of cortical tissues may cause segmentation errors due to the similarities with the surrounding background. The developed 3D bone segmentation method extracts all bone regions in extremity cone-beam CT volumes of hands, feet, and knees that enables clinical tools for: a) globally assessing bone mineral density (BMD) within user- defined 3D shell regions, and b) creating 3D visualizations to locally monitor BMD change over time.
Keywords: segmentation, clinical application, bone mineral density, 3D visualization, X-ray CBCT
An interactive 3-D bone segmentation and visualization tools was developed to enable computation of 3D joint space maps from cone beam computed tomography (CBCT). This 3D application for measuring joint space narrowing produces a 2D color map of the joint space narrowing distribution onto the bone surface along with other parameters to help orthopedic surgeons better characterize healthy conditions of a particular joint of interest.
Keywords: interactive segmentation, orthopaedics, 3D joint space maps, 3D visualization, X-ray CBCT
Joint space color map distribution. Red regions indicate narrower joint spacing.
Interactive bone segmentation of the foot: labelled bone masks overlaid to the original slice and surface rendering of the foot.
The attention index is a number from zero to one that indicates when a possible fracture detected inside a selected tooth. Higher is the number, greater is the likelihood for needed attention in the visual examination. The method developed for attention index estimation extracts a connected component with image properties that are similar to those of a typical tooth fracture (i.e., a dark canyon in CBCT images). It also provides the best plane across the geometric center of the suspicious fracture component, in order to start the visual examination. The algorithm reduced endodontists' workflow time for CBCT slices examination by a factor of 2.5.
Keywords: machine learning, pattern detection, image-based model, 3-D visualization, optimization, 3-D image segmentation, low-dose X-ray, CBCT, endodontics, root fracture, parallel computing, OpenMP
3-D interactive visualization
The automatic detection of root fracture, root canal, and the pulp from the attention index algorithm
Despite the advance in iterative reconstruction methods for reducing metal artifacts, Feldkamp (FDK) based algorithms continue to be the most widely used CT reconstruction in medicine. While computationally efficient, FDK performs poorly in the presence of metallic objects. Projection-completion algorithms have been used to suppress metallic artifacts and, hence, improve image quality in FDK reconstruction. Here, we present a three- dimensional adaptive filtering method that performs projection completion. It takes into account the metal content fraction in the voxel and applies a correction in the projections. This algorithm uses a fast, simple, forward-projection method to obtain accurate metal probability regions in the projection space. We compare our results with those obtained using projection completion by linear interpolation on a dental cone-beam CT.
Keywords: Metal artifacts, 3D adaptive filtering, CBCT, iterative reconstruction, forward-projection method, FDK
Original projection and metal probability mask
Semi-locally adaptive models have appeared in medical imaging literature in the past years. In particular, generalized scale models (or g-scale for short) have been introduced to effectively overcome the shape, size, or anisotropic constraints imposed by previous local morphometric scale models. The g-scale models have shown interesting theoretical properties and an ability to drive improved image processing as shown in previous works. In this paper, we present a noise-resistant variant for g-scale set formation, which we refer to as stabilized scale (s- scale) because of its stabilized diffusive properties. This is a modified diffusion process wherein a well-conditioned and stable behavior in the vicinity of boundaries is defined. Yet, s-scale includes an intensity-merging dynamics behavior in the same manner as that found in the switching control of a nonlinear system. Basically we introduce, in the evolution of the diffusive model, a behavior state to drive neighboring voxel intensities to larger and larger iso-intensity regions. In other words, we drive our diffusion process to a coarser and coarser piecewise-constant approximation of the original scene. This strategy reveals a well-known behavior in control theory, called sliding modes. Evaluations on a mathematical phantom, the Brainweb, MR and CT data sets were conducted. The s-scale has shown better performance than the original g-scale under moderate to high noise levels.
Keywords: Scale, stabilized diffusion, automated image analysis, classification, computer vision
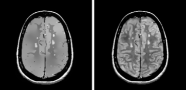
Brain MR with multiple sclerosis lesions after 500 iteration of anisotropic diffusion(left), and stabilized diffusion via s-scale (right).
Simplified flowchart of the s-scale method
Conventional 1.5T magnetic resonance imaging (MRI) systems suffer from poor out-of-plane resolution (slice dimension), usually with in-plane resolution being several times higher than the former. Post-acquisition, super-resolution (SR) filtering is a viable alternative and a less expensive, off-line image processing approach that is employed to improve tissue resolution and contrast on acquired three-dimensional (3D) MR images. We introduce an SR framework that models a true acquired volume information by taking into account slice thickness and spacing between slices. Previous SR schemes have not considered this type of acquisition information or they have required specialized MR acquisition techniques. Evaluations based on synthetic data and clinical knee MRI data show superior performance of this method over an existing averaging method.
Keywords: super-resolution, image registration, 3D inpainting, back-projection, magnetic resonance imaging
3D rendering showing T1 (in gray) fused with T2 (in color) for a typical clinical knee MRI
Performance plots depicting the variation of relative noise RN and relative contrast RC for two simulated slice thicknesses: 1 mm and 2 mm
The ability to assess regional axonal architecture has applications ranging from studying brain connectivity and maturation, to the study of white matter (WM) diseases such as multiple sclerosis.While diffusion weighted imaging (DWI) and diffusion tensor imaging (DTI) are both valuable clinical tools, neither has been demonstrated to provide specific information on axonal architecture such as mean axon diameter or extra-cellular and intra-cellular space (ECS and ICS, respectively) volume fractions, which could potentially provide insight into brain maturation or pathology. These optical histologic images were segmented into ECS, ICS, and myelin compartments. First, seed points were placed within the axons to initiate a watershed-based segmentation of the ICS. The myelin was then segmented using an interactive profile-based boundary detection algorithm. The ECS was determined by subtracting the union of the axon and the myelin regions from the entire image space. The segmented images were then used to calculate mean axon diameter, fractional areas of ECS, ICS, and myelin, and axon count.
Keywords: digital pathology, axon cell segmentation, axonal architecture, feature extraction, white matter tract, histologic tissue characteristic
Optical image of mouse cord section showing WM tract locations and their segmented axons
Average regional white matter tract histologic characteristic
A robust, iterative, intensity-based affine registration is carried out to correct misalignment among the volumes. The affine registration utilizes mutual information (MI) similarity function of the joint probability distribution of two volumes, in a hierarchical manner, to optimize the transformation parameters. The optimization process is carried out by using the Powell’s method to find a set of up to 12 parameters that maximize the MI. Interpolation and similarity computation are the two most time-consuming operations in a registration framework. We have fine-tuned our registration framework to achieve rapid convergence while maintaining the same quality of matching provided by the method. Our solution combines computation only within a volume of interest (VOI) (e.g., foreground region of the knee MR volume), and a flexible, multi-level, coarse-to-fine resolution approach for faster convergence. In addition, a separate multi-core, distributed computing, parallel registration algorithm is also provided. This algorithm can either run on a single multi-core computer or on a cluster of computers to achieve a real-time registration. Intra-subject registration is also used to capture the effect of disease development, treatment progress, and compensate for motion. Inter-subject registration is used to create mean images and atlases for assessment of abnormalities, anatomic variability within a population, and atlas based segmentation.
Keywords: real-time registration, parallel computation, distributed computing, multi-core, distributed computing, parallel programing, MPI
Inter-subject registration: before and after applying rigid/affine transform with MI similarity
The key elements of a registration algorithm
Parallel registration flowchart
Regional analysis of multiple sclerosis (MS) lesions was researched by mapping brain regions onto patient data using a nonlinear registration paradigm based on function basis. It aimed to define the nature of the olfactory and visual dysfunction present in MS. Intra-subject deformable registration also was designed to investigate breast cancer. Free-form deformation based on B-splines was applied with 1890 degree of freedom.
Keywords: deformable registration, B-splines, multiple sclerosis, breast cancer
Automated labeling of deep brain regions using atla-based deformable registration
Free-form B-spline deformable registration for breast imaging evaluation
The first step in Active Shape Model (ASM) based image segmentation and processing is to create a point distribution model (PDM) during the training phase. Correct point (landmark) correspondences across each of the training shapes must be determined for a successful and effective statistical model building process. Effective and automatic solutions for this problem are needed for the practical use of ASM methods. In this paper, we provide a solution for this problem which consists of: (i) a process of generating a mean shape without requiring landmarks, (ii) a process of automatic landmark selection for the mean shape, and (iii) a process of propagating landmarks on to each training shape for defining landmarks in them. This paper describes the method of generating the mean shape, and the landmark selection and correspondence process. Although the method is generally applicable to spaces of any dimensionality, our first implementation and evaluation has been carried out for 2D shapes. The method is evaluated on 20 MRI foot data sets, the object of interest being the talus bone. The results indicate that, for the same given number of points, better compactness (number of parameters) of the ASM by using our method can be achieved than by using the commonly used equi-spaced point selection method.
Keywords: Image processing, active shape models, deformable model, image segmentation.
Polygonization based on Douglas-Peucker line simplification algorithm
Decreasing a tolerance value the number of points increases in parts of the boundary where curvature is high
Talus models generated by the three methods. Compactness are expressed as % of variation per mode, compact models explain more shape variation with less modes
With the increasing size of volumetric medical images as seen nowadays, developing effective segmentation tools that requires minimum user help is a paramount. Live wire (LW) has demonstrated to be more repeatable and 1.5-2.5 times faster than manual tracing for segmenting medical images in a slice-by-slice manner. We introduce two frameworks called iterative live wire and live snake that further reduce the user interaction time for 3D segmentation of medical images. In both frameworks, the segmentation initiated by LW is propagated under the user control to adjacent slices by projecting anchor points. In iterative live wire, the LW segments are refined by iteratively updating the positions of projected anchor points such that they are mid points of the previous LW segments. In live snake, a snake segmentation is initialized by the projected anchor points in the adjacent slice and a subsequent refinement is done via ILW. We apply these frameworks to segment different human body regions coming from CT and MR images, including breast, foot bone and liver.
Keywords: live wire, snakes, interactive segmentation, medical imaging, hybrid methods
Iterative live wire (LW) process. New anchor points (APs) are mid points computed iteratively starting from LW segments of projected APs until negligible changes are reached
Average segmentation speed up reflected by minimum % of user help and number of anchor points (APs) needed
In medical imaging, low signal-to-noise ratio (SNR) and/or contrast-to-noise ratio (CNR) often cause many image processing algo- rithms to perform poorly. Postacquisition image filtering is an important off-line image processing approach widely employed to enhance the SNR and CNR. A major drawback of many filtering techniques is image degradation by diffusing/blurring edges and/or fine structures. We introduce a scale-based filtering method that employs scale-dependent diffusion conductance to perform filtering. This approach utilizes novel object scale information via a concept called generalized scale, which imposes no shape, size, or anisotropic constraints unlike previously published ball scale-based filtering strategies. The object scale allows us to better control the filtering process by constraining smoothing in regions with fine details and in the vicinity of boundaries while permitting effective smoothing in the interior of homogeneous regions. A new quantitative evaluation strategy that captures the SNR to CNR trade-off behavior of filtering methods is presented.
Keywords: anisotropic diffusion, image filtering, MR imaging, local scale, filtering quality assessment, space-variant filtering
Original PD brain MR image of a multiple sclerosis patient (left) followed by resulting images after applying ball scale, classical and generalized scale diffusion filtering
Zoomed in regions for the above images